What Does a Dental Cavity Look Like? Spot It Early
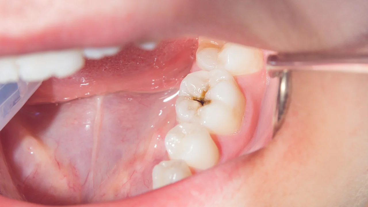
What does a dental cavity look like? Many miss the first signs until pain starts. A cavity begins as a small white chalky spot on the tooth. It feels rough if you run your tongue over it. The spot turns light brown then dark brown or black. You see a hole or pit when it gets bigger. How do you know if you have a cavity? Look for dark lines or soft spots when you brush. Feel sharp pain with cold hot or sweet food. Bad breath or ache when you bite means decay is deep. The main cause of cavity is bacteria feeding on sugar and making acid that eats enamel. At Clinique Dentaire Cartier we check these spots early with early dental exam and preventive dental treatment specially for children to stop big damage.
Early Signs You Might Have a Cavity
How do you know if you have a cavity before it hurts bad? First sign is a dull white area on the tooth surface. It looks chalky and does not shine like healthy enamel. As decay grows the color changes to brown. You may see black dots or lines near the gum. The tooth feels rough or sticky. Sensitivity to cold drinks or sweets hits next. Pain when you bite down is a late sign. Swelling or pus means infection. Kids get cavities fast from juice or candy, which is why pediatric dentistry focuses on early checks and prevention. Adults see them near old fillings or gums.
Main Cause of Cavity and How It Starts
The main cause of cavity is plaque bacteria eating sugar left on teeth. They make acid that softens enamel day after day. Not brushing twice a day allows plaque to harden into tartar, which dentists often find during regular family dental visits. Tartar traps more food and acid. Dry mouth from meds or breathing through mouth helps decay grow. Smoking cuts saliva that washes teeth. Grinding wears enamel thin. All these let holes form slow but sure.

Tooth Cavity Filling Cost and What to Expect
Tooth cavity filling cost depends on size and material. Small white filling costs 150 dollar to 300 dollar. Bigger or back tooth fillings cost more. Price for teeth filling includes numb clean and polish. White composite looks natural and strong. Silver is cheaper but shows. How long does it take to fill a cavity? Most take 30 to 60 minutes in one visit. You feel numb for hours after but no pain. We shape polish and check bite so it feels right.
Think You Have a Cavity? Get It Checked Today
Early treatment saves pain and money. Our dentists provide gentle exams and same-day fillings.
👉 Book Dental Exam Dental Exam and Preventive Dental Treatment here
We’re Here for You 24/7
You can contact us anytime — day or night. Our team is always ready to help you.
How to Fix a Cavity Step by Step
During endodontic services for cavity treatment, we numb the tooth so you feel nothing. Clean out soft decay with small tools. Shape the hole to hold filling good. Put white material in layers and harden with light. Polish smooth so food does not stick. You bite test and leave ready to eat. Small cavities finish same day. Deep ones may need crown later using dental prosthesis for full protection. Early fix is easy and cheap.

How to Stop Cavities From Coming
Brush twice a day with fluoride paste. Floss once to clean between teeth. Cut candy soda and sticky snacks. Rinse with water after meals. Drink water to wash mouth clean. Visit us every six months for clean and check. Good habits keep cavities away for life.
When to Call the Dentist
Call if you see brown spots feel pain or sensitivity. Do not wait for big hole or swell. Early visit fixes small and saves money. Pain at night or swell needs same day help through our oral surgery services. Book your appointment, check at Clinique Dentaire Cartier today.
Gentle, Expert Cavity Treatment Under One Roof
From early detection to advanced fillings, we offer complete family dental care in one place.
👉 Schedule Appointment at our Endodontic Service
Conclusion
What does a dental cavity look like? It starts white chalky then turns brown with holes. How do you know if you have a cavity? Feel pain or see dark spots. The main cause of cavity is sugar and bad brushing. Tooth cavity filling cost is low if caught early. How long does it take to fill a cavity? One quick visit. Brush floss and visit us regular to stay safe. Book your spot at Clinique Dentaire Cartier and keep your smile strong.
FAQs
A cavity will not heal on its own once it forms a hole in the enamel. The tooth however cannot regrow hard enamel like skin heals. Early white spots can sometimes harden again with fluoride and better brushing. But once decay reaches dentin or makes a hole you need a dentist to fix it. Waiting lets the cavity grow bigger and hurt more.
The main cause of cavity is bacteria in plaque feeding on sugar and making acid. This acid eats away enamel day after day. Not brushing well lets plaque stay and harden. Too much candy soda or sticky food feeds the bacteria more. Dry mouth or grinding also helps decay start.
We remove a cavity by numbing the tooth and drilling out the soft decayed part. Then we clean the spot and fill it with white material that hardens fast. The filling stops decay from growing deeper. For big cavities we may use a crown to protect the tooth. The whole job is gentle and quick.
You know if you have a cavity from pain when you eat sweet cold or hot food. Dark spots or holes on the tooth are clear signs. Rough feel or food getting stuck also points to decay. Bad breath or ache when biting can mean a cavity too. Only a dentist check with X ray shows hidden ones.
What does a stage 1 cavity look like?
A stage 1 cavity looks like a small white chalky spot on the tooth. It feels dull as well as rough not shiny like healthy enamel. The spot is soft and can turn brown if not fixed. At this early stage no hole or pain yet. Good brushing and fluoride can stop it from growing.
Tooth cavity filling cost
Tooth cavity filling cost is 150 dollar to 300 dollar for most small ones. Bigger cavities or back teeth cost a bit more. White fillings that look natural cost the same as silver in many places. We give exact price after we check your tooth.
Price for teeth filling
Price for teeth filling starts low for small spots and goes up with size. Simple front tooth filling is cheaper than big back molar work. Insurance often pays part so you pay less. Book a check and we tell you the real price for your filling.
How long does it take to fill a cavity?
It takes 30 to 60 minutes to fill a cavity in one easy visit. We numb the tooth clean decay and put the filling. You wait a little for numb to go then eat normal. Bigger cavities may need two visits for crown prep.
